La enfermedad periodontal, con síntomas que no avisan y que en ocasiones no duele, puede convertirse en la peor pesadilla para tus dientes. Por eso te contamos de qué trata y cómo inicia.
Puede comenzar por varios factores y deriva en una infección bacteriana crónica que ataca a los tejidos de los dientes, como las encías y huesos, lo que podría provocar la pérdida total de los dientes y, muchas veces, los síntomas son tan leves que no generan alerta.
"El asesino silencioso": la enfermedad que podría dejarte sin dientes y no tiene síntomas
Así lo demostró la odontóloga Lizbeth Romero a través de un video en su Instagram, donde alertó cómo la enfermedad periodontal podría dejarte sin dientes.
"Todo comienza con un poco de sangre al cepillarse. Muchos pueden pensar que es algo normal y dejarlo pasar por meses. Luego viene el mal aliento, después la retracción gingival, hasta que finalmente un día tenemos 'movilidad dental' el final boss de la enfermedad periodontal", advirtió la especialista.
Además, agregó que "la enfermedad periodontal no avisa ni duele, solo avanza. Es por ello que en este video le llamo 'el asesino silencioso'".

Los primeros síntomas de la enfermedad periodontal
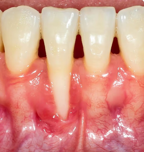
- Gingivitis: inflamación y sangrado de encías
- Periodontitis: recesión de encías (dientes más largos) y movilidad, pudiendo causar la pérdida de ellos
- Factores de riesgo: poca higiene, diabetes, fumar y genética
¿Cómo prevenir la enfermedad periodontal?
- Cepillarse los dientes: tres veces al día o después de cada comida
- Tratamiento dental: acudir al dentista por limpieza profunda de encías y, si hay avance, se debe realizar cirugía periodontal
- Tratamiento de otras enfermedades: monitorear enfermedades cardiovasculares o diabetes